star twitter facebook envelope linkedin youtube alert-red alert home left-quote chevron hamburger minus plus search triangle x

TIN TỨC KHOA RĂNG HÀM MẶT


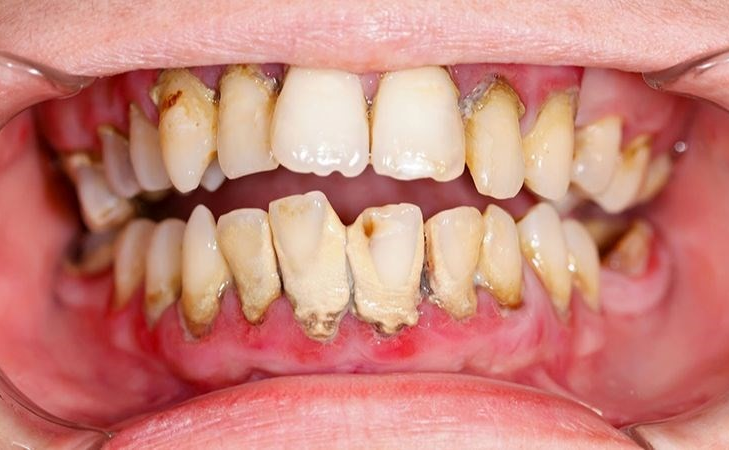
MỐI LIÊN QUAN GIỮA BỆNH LÝ VIÊM NHA CHU VÀ ĐÁI THÁO ĐƯỜNG


Viêm nha chu và đái tháo đường là hai bệnh mạn tính phổ biến có mối liên quan hai chiều chặt chẽ. Nhiều nghiên cứu cho thấy tình trạng tăng đường huyết kéo dài làm suy giảm đáp ứng miễn dịch, rối loạn vi tuần hoàn và tăng viêm, từ đó thúc đẩy sự tiến triển của viêm nha chu. Ngược lại, viêm nha chu mạn tính có thể làm tăng mức độ đề kháng insulin thông...

Xem thêm

Chăm Sóc Sức Khỏe Răng Miệng Cho Người Lớn Tuổi: Giữ Nụ Cười Khỏe Mạnh Cùng Năm Tháng


Khi tuổi tác tăng, cơ thể tự nhiên trải qua nhiều thay đổi – và răng miệng cũng không ngoại lệ. Lớp men răng mòn dần, nướu có xu hướng tụt, nước bọt tiết ra ít hơn, dẫn đến khô miệng, sâu răng và các bệnh nha chu. Nếu không chăm sóc đúng cách, người lớn tuổi có thể gặp các vấn đề như: Mất răng, ảnh hưởng đến khả năng nhai và tiêu hóa. Hôi miệng,...

Xem thêm

Lợi ích của việc bôi SDF trong kiểm soát sâu răng


SDF (Silver Diamine Fluoride) là dung dịch dùng tại chỗ lên răng sâu. Bạc có tác dụng kháng khuẩn mạnh, fluoride giúp tái khoáng men/ngà, nhờ đó làm chậm tiến triển sâu răng mà không cần khoan trong nhiều tình huống lâm sàng.

Xem thêm

Răng ở trẻ sơ sinh: phụ huynh cần biết gì?


Trẻ sơ sinh đã có răng chưa? Khi chào đời, đa số trẻ chưa có răng nhú (răng sữa thường mọc từ 6–10 tháng). Một tỷ lệ nhỏ có răng ngay khi sinh (răng sơ sinh – natal teeth) hoặc mọc trong 30 ngày đầu (neonatal teeth). Trường hợp này thường gặp ở răng cửa dưới.

Xem thêm

CHẤN THƯƠNG RĂNG Ở TRẺ EM – THỰC TRẠNG, NGUYÊN NHÂN VÀ HƯỚNG XỬ TRÍ


Chấn thương răng miệng là một trong những tai nạn thường gặp ở trẻ em, chỉ đứng sau sâu răng và bệnh nha chu về mức độ phổ biến. Do đặc điểm hiếu động, thích chạy nhảy và chưa ý thức đầy đủ về nguy cơ tai nạn, trẻ dễ bị va đập, té ngã, hoặc chấn thương khi chơi thể thao, từ đó dẫn đến tổn thương răng và mô quanh răng. Việc hiểu rõ nguyên nhân, đặc điểm...

Xem thêm

DỰ PHÒNG NHẠY CẢM NGÀ RĂNG


Nhạy cảm ngà răng là tình trạng thường gặp trong nha khoa, đặc trưng bởi cảm giác ê buốt thoáng qua khi răng tiếp xúc với các kích thích nhiệt, cơ học, thẩm thấu hoặc hóa học. Tình trạng này ảnh hưởng đáng kể đến chất lượng cuộc sống và thói quen ăn uống của người bệnh. Bài viết này nhằm trình bày cơ chế bệnh sinh, yếu tố nguy cơ, cũng như các biện...

Xem thêm

Tăng cường hoạt động nghiên cứu khoa học cho sinh viên ngành Răng - Hàm - Mặt, Trường Y Dược, Đại học Duy Tân


Nghiên cứu khoa học là một trong những yếu tố then chốt góp phần nâng cao chất lượng đào tạo và khẳng định vị thế của sinh viên trong môi trường học thuật. Đối với ngành Răng - Hàm - Mặt, hoạt động nghiên cứu không chỉ giúp sinh viên củng cố kiến thức chuyên môn mà còn rèn luyện tư duy phản biện, khả năng phân tích và giải quyết vấn đề lâm sàng một...

Xem thêm

Giáo dục nha khoa cho phụ huynh: Yếu tố then chốt trong chăm sóc răng miệng trẻ em


Sức khỏe răng miệng là một phần quan trọng của sức khỏe tổng thể, đặc biệt đối với trẻ em. Tuy nhiên, nhiều bậc phụ huynh vẫn còn thiếu kiến thức về tầm quan trọng của việc chăm sóc răng miệng cho con cái. Điều này dẫn đến tình trạng sâu răng sớm, viêm nướu và các vấn đề khác có thể ảnh hưởng đến sự phát triển toàn diện của trẻ. Giáo dục nha khoa cho...

Xem thêm

Quai bị: nguyên nhân, triệu chứng, lây truyền, phòng ngừa và khi nào cần đi khám


Quai bị là bệnh truyền nhiễm do virus gây viêm tuyến nước bọt (thường là tuyến mang tai), dẫn đến sưng đau vùng má–hàm. Bệnh có thể gây biến chứng ở người lớn và thanh thiếu niên, nhưng đa số hồi phục hoàn toàn với chăm sóc hỗ trợ.

Xem thêm

Herpes vùng miệng (mụn rộp môi): nguyên nhân, triệu chứng, điều trị & phòng ngừa


Herpes vùng miệng (herpes labialis/cold sore) chủ yếu do virus Herpes simplex type 1 – HSV-1 gây nên. Bệnh rất phổ biến, lây qua tiếp xúc da–da hoặc nước bọt; nhiều người nhiễm nhưng không có triệu chứng. HSV-2 cũng có thể gây tổn thương ở miệng (thường do quan hệ miệng–sinh dục).

Xem thêm