Sâu răng là một trong những bệnh lý răng miệng phổ biến nhất ở trẻ em Việt Nam. Theo thống kê, hơn 80% trẻ từ 4-8 tuổi bị sâu răng, và đến 91% các bé chưa vệ sinh răng miệng đúng cách. Đây là bệnh nhiễm khuẩn gây mất mô cứng răng do vi khuẩn trong mảng bám kết hợp với đường từ thức ăn.
Răng sữa dù chỉ tạm thời nhưng rất quan trọng: giúp trẻ ăn nhai, phát âm rõ ràng, giữ chỗ cho răng vĩnh viễn và hỗ trợ phát triển xương hàm. Nếu sâu răng sữa không được điều trị, có thể dẫn đến mất răng sớm, ảnh hưởng tâm lý trẻ và làm răng vĩnh viễn mọc lệch lạc sau này.
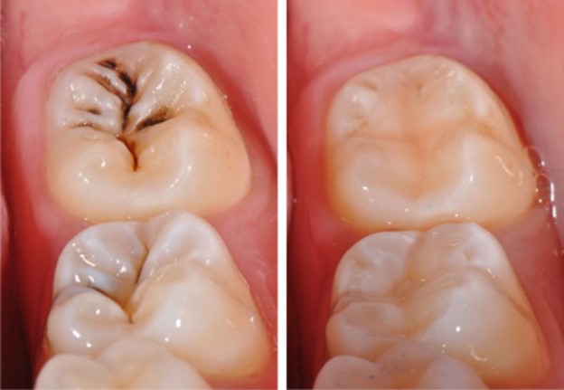
Dấu hiệu nhận biết sâu răng ở trẻ:
Nếu không chữa trị kịp thời, sâu răng có thể lan đến tủy, gây áp-xe, viêm nhiễm nặng, thậm chí nhiễm trùng máu – đặc biệt nguy hiểm với trẻ có bệnh lý toàn thân như tim bẩm sinh.

Cách phòng ngừa sâu răng hiệu quả cho trẻ:

Lời khuyên cuối cùng: Hãy đưa bé khám răng định kỳ mỗi 6 tháng để phát hiện sớm. Sâu răng hoàn toàn có thể phòng ngừa được nếu cha mẹ chú ý từ sớm. Bảo vệ nụ cười cho con chính là bảo vệ sức khỏe tương lai của bé! 🦷💕
Tác giả: BS. Lê Khắc Tấn Tài
Người duyệt: TS. BS Lê Anh Tuân, ThS. BSNT Nguyễn Hà Quốc Trung
Đăng bài: ThS. BS Trần Anh Tuấn