
Tóm tắt
Bệnh lý nha chu là một trong những bệnh lý răng miệng phổ biến nhất trên toàn thế giới, gây ảnh hưởng nghiêm trọng đến sức khỏe răng miệng và chất lượng cuộc sống của người bệnh. Nhiều yếu tố nguy cơ đã được xác định, trong đó hành vi sử dụng rượu bia ngày càng được quan tâm. Nhiều nghiên cứu cho thấy việc uống rượu bia thường xuyên và với số lượng lớn có liên quan mật thiết đến sự khởi phát và tiến triển của bệnh lý nha chu. Bài báo này nhằm tổng quan các bằng chứng khoa học về mối liên quan giữa uống rượu bia và bệnh lý nha chu, đồng thời phân tích các cơ chế sinh học liên quan.
Từ khóa: rượu bia, bệnh nha chu, viêm nướu, viêm nha chu, yếu tố nguy cơ.
1. Đặt vấn đề
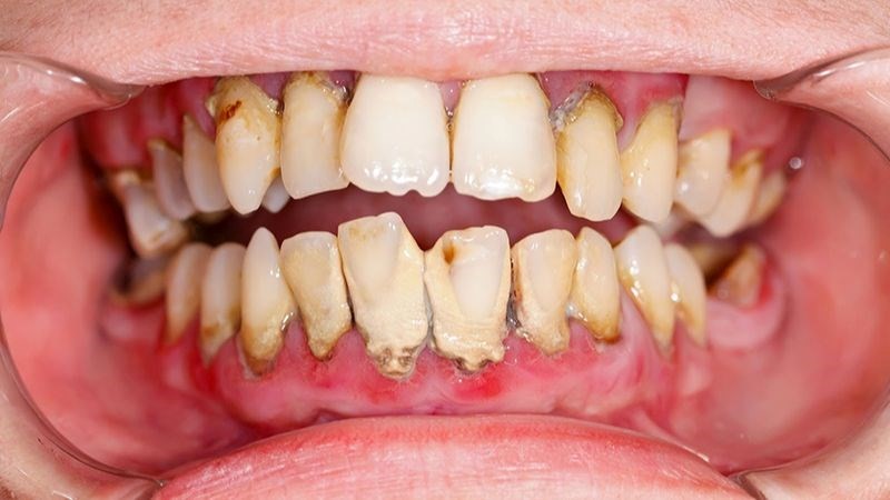
Bệnh lý nha chu bao gồm viêm nướu và viêm nha chu, là tình trạng viêm nhiễm mạn tính của mô nha chu do mảng bám vi khuẩn gây ra. Nếu không được điều trị kịp thời, bệnh có thể dẫn đến mất răng và ảnh hưởng toàn thân. Ngoài các yếu tố nguy cơ truyền thống như vệ sinh răng miệng kém, hút thuốc lá và đái tháo đường, uống rượu bia đang được xem là một yếu tố nguy cơ quan trọng nhưng chưa được quan tâm đầy đủ.
Rượu bia là đồ uống có cồn được sử dụng phổ biến tại nhiều quốc gia, trong đó có Việt Nam. Việc lạm dụng rượu bia không chỉ gây ảnh hưởng xấu đến sức khỏe toàn thân mà còn tác động tiêu cực đến sức khỏe răng miệng, đặc biệt là mô nha chu.
2. Tổng quan bệnh lý nha chu
Bệnh lý nha chu là quá trình viêm phá hủy các mô nâng đỡ răng, bao gồm nướu, dây chằng nha chu, cement răng và xương ổ răng. Viêm nướu là giai đoạn sớm, có thể hồi phục nếu được kiểm soát tốt mảng bám. Khi viêm tiến triển và phá hủy mô nâng đỡ, bệnh chuyển sang viêm nha chu với hậu quả nghiêm trọng hơn.
Các biểu hiện lâm sàng thường gặp gồm: nướu đỏ, sưng, chảy máu khi chải răng, túi nha chu, tiêu xương ổ răng và lung lay răng.
3. Uống rượu bia và ảnh hưởng đến sức khỏe răng miệng
Rượu bia có thể ảnh hưởng đến sức khỏe răng miệng thông qua nhiều cơ chế khác nhau:
Những thay đổi này góp phần làm tăng nguy cơ mắc các bệnh lý răng miệng, đặc biệt là bệnh nha chu.
4. Mối liên quan giữa uống rượu bia và bệnh lý nha chu
Nhiều nghiên cứu dịch tễ học cho thấy người uống rượu bia thường xuyên có tỷ lệ mắc viêm nha chu cao hơn so với người không uống hoặc uống ở mức độ thấp. Mức độ nghiêm trọng của bệnh nha chu cũng tăng theo liều lượng và thời gian sử dụng rượu bia.
Rượu bia được cho là làm tăng phản ứng viêm tại mô nha chu thông qua việc kích thích sản xuất các cytokine tiền viêm như TNF-α, IL-1β và IL-6. Ngoài ra, rượu còn làm suy giảm chức năng của bạch cầu trung tính và đại thực bào, khiến cơ thể giảm khả năng chống lại vi khuẩn gây bệnh nha chu.
5. Cơ chế sinh học liên quan
Các cơ chế chính giải thích mối liên quan giữa rượu bia và bệnh nha chu bao gồm:
6. Ý nghĩa lâm sàng và dự phòng
Việc nhận thức rõ mối liên quan giữa uống rượu bia và bệnh lý nha chu có ý nghĩa quan trọng trong thực hành lâm sàng. Bác sĩ răng hàm mặt cần tư vấn cho bệnh nhân về tác hại của rượu bia đối với sức khỏe nha chu, đồng thời khuyến khích thay đổi lối sống, giảm hoặc ngưng sử dụng rượu bia kết hợp với duy trì vệ sinh răng miệng tốt.
7. Kết luận
Uống rượu bia là một yếu tố nguy cơ quan trọng góp phần vào sự khởi phát và tiến triển của bệnh lý nha chu. Việc sử dụng rượu bia thường xuyên và kéo dài có thể làm trầm trọng thêm tình trạng viêm, phá hủy mô nha chu và tăng nguy cơ mất răng. Do đó, kiểm soát thói quen uống rượu bia cần được xem là một phần trong chiến lược dự phòng và điều trị bệnh nha chu.
Tác giả: ThS. BS. Nguyễn Thị Thanh Duyên
Người duyệt: TS. BS Lê Anh Tuân, ThS. BSNT Nguyễn Hà Quốc Trung
Đăng bài: ThS. BS Trần Anh Tuấn