
Tóm tắt
Viêm nha chu và đái tháo đường là hai bệnh mạn tính phổ biến có mối liên quan hai chiều chặt chẽ. Nhiều nghiên cứu cho thấy tình trạng tăng đường huyết kéo dài làm suy giảm đáp ứng miễn dịch, rối loạn vi tuần hoàn và tăng viêm, từ đó thúc đẩy sự tiến triển của viêm nha chu. Ngược lại, viêm nha chu mạn tính có thể làm tăng mức độ đề kháng insulin thông qua cơ chế viêm toàn thân, làm trầm trọng hơn kiểm soát đường huyết ở bệnh nhân đái tháo đường. Việc nhận thức và điều trị đồng thời hai bệnh lý này đóng vai trò quan trọng trong cải thiện chất lượng cuộc sống và giảm nguy cơ biến chứng toàn thân.
Từ khóa: Viêm nha chu, Đái tháo đường, Mối liên quan hai chiều, Viêm toàn thân, Kiểm soát đường huyết.
1. Đặt vấn đề
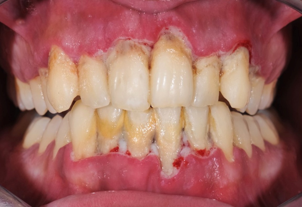
Viêm nha chu là bệnh lý viêm mạn tính của các mô quanh răng, gây phá hủy dây chằng nha chu và xương ổ răng, có thể dẫn đến mất răng nếu không được điều trị kịp thời.
Đái tháo đường là rối loạn chuyển hóa đặc trưng bởi tình trạng tăng glucose máu mạn tính do thiếu insulin hoặc giảm đáp ứng với insulin.
Theo Tổ chức Y tế Thế giới (WHO), hiện nay có hơn 500 triệu người mắc đái tháo đường trên toàn cầu, và hơn 90% người trưởng thành có biểu hiện của bệnh lý nha chu ở các mức độ khác nhau. Các bằng chứng khoa học ngày càng cho thấy mối liên hệ hai chiều giữa hai bệnh này, trong đó mỗi bệnh có thể ảnh hưởng tiêu cực đến tiến triển và điều trị của bệnh còn lại.
2. Cơ chế bệnh sinh liên quan
2.1. Ảnh hưởng của đái tháo đường lên viêm nha chu
2.2. Ảnh hưởng của viêm nha chu lên đái tháo đường
3. Biểu hiện lâm sàng
Bệnh nhân đái tháo đường thường có:
Mức độ viêm nha chu thường nặng hơn và tiến triển nhanh hơn ở bệnh nhân có kiểm soát đường huyết kém (HbA1c > 7%).
4. Điều trị và dự phòng
4.1. Kiểm soát đường huyết
Là yếu tố then chốt để hạn chế tiến triển bệnh nha chu. Việc điều chỉnh thuốc, chế độ ăn và tập luyện giúp giảm phản ứng viêm toàn thân.
4.2. Điều trị nha chu
4.3. Hợp tác liên chuyên khoa
5. Bàn luận
Các bằng chứng hiện nay khẳng định mối liên hệ hai chiều giữa viêm nha chu và đái tháo đường. Viêm nha chu không chỉ là một biến chứng của đái tháo đường mà còn là yếu tố nguy cơ làm nặng thêm bệnh đái tháo đường.
Một số nghiên cứu (Grossi et al., 1997; Preshaw et al., 2012) chỉ ra rằng điều trị nha chu tích cực có thể cải thiện kiểm soát đường huyết tương đương với việc điều chỉnh thuốc hạ đường huyết. Điều này nhấn mạnh vai trò của bác sĩ nha khoa trong chăm sóc toàn thân bệnh nhân.
6. Kết luận
Viêm nha chu và đái tháo đường có mối liên hệ tương hỗ phức tạp thông qua cơ chế viêm, rối loạn miễn dịch và chuyển hóa. Việc kiểm soát tốt cả hai bệnh giúp giảm nguy cơ biến chứng răng miệng và toàn thân, đồng thời nâng cao chất lượng sống cho người bệnh.
Khám nha khoa định kỳ, duy trì vệ sinh răng miệng, và kiểm soát đường huyết chặt chẽ là ba yếu tố quan trọng nhất để ngăn ngừa vòng xoắn bệnh lý này.
📚 Tài liệu tham khảo (gợi ý):
Tác giả: ThS. BS. Nguyễn Thị Thanh Duyên
Người duyệt: TS. BS Lê Anh Tuân, ThS. BSNT Nguyễn Hà Quốc Trung
Đăng bài: ThS. BS Trần Anh Tuấn