
Tóm tắt
Viêm nướu thai kỳ là một tình trạng viêm mô nướu thường gặp ở phụ nữ mang thai, với tỷ lệ mắc từ 50–75%. Nguyên nhân chủ yếu liên quan đến sự thay đổi nội tiết, tăng đáp ứng viêm và tích tụ mảng bám răng. Dù không gây nguy hiểm trực tiếp đến tính mạng, viêm nướu thai kỳ có thể dẫn đến các biến chứng như viêm nha chu, tiêu xương ổ răng hoặc ảnh hưởng đến sức khỏe thai nhi. Bài báo này nhằm tổng hợp các yếu tố nguy cơ, biểu hiện lâm sàng và đặc biệt là các biện pháp dự phòng hiệu quả giúp bảo tồn sức khỏe răng miệng cho thai phụ.
Từ khóa: viêm nướu thai kỳ, dự phòng, sức khỏe răng miệng, phụ nữ mang thai.
1. Giới thiệu
Viêm nướu thai kỳ (pregnancy gingivitis) là dạng viêm mô mềm quanh răng xuất hiện hoặc trầm trọng lên trong thời kỳ mang thai. Bệnh thường xuất hiện từ tháng thứ 2 và đạt đỉnh trong tam cá nguyệt thứ 2–3. Các nghiên cứu cho thấy sự thay đổi hormone estrogen và progesterone làm tăng tính thẩm thấu mạch máu và kích hoạt phản ứng viêm tại mô nướu.
Việc dự phòng đóng vai trò quan trọng vì viêm nướu không chỉ ảnh hưởng đến chất lượng sống (đau, chảy máu, hôi miệng) mà còn có thể liên quan đến sinh non và nhẹ cân.
2. Nguyên nhân và cơ chế bệnh sinh
Viêm nướu thai kỳ hình thành qua các cơ chế chính:
- Tăng nồng độ hormone thai kỳ → thúc đẩy sự phát triển của vi khuẩn kỵ khí như Prevotella intermedia.
- Giảm đáp ứng miễn dịch cục bộ → nướu dễ bị tổn thương trước kích thích cơ học hoặc vi khuẩn.
- Tăng mảng bám răng do thay đổi thói quen ăn uống và vệ sinh răng miệng.
- Phản ứng viêm tăng cường gây đỏ, sưng, đau và chảy máu nướu.
3. Yếu tố nguy cơ
- Nội tiết (progesterone, estrogen tăng cao)
- Vệ sinh răng miệng kém
- Thói quen ăn uống không hợp lý
- Thiếu vitamin C, sắt
- Tình trạng viêm nha chu trước thai kỳ
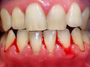
4. Triệu chứng lâm sàng
- Nướu sưng đỏ, mềm, dễ chảy máu khi chải răng
- Hơi thở hôi
- Có thể xuất hiện u nướu thai kỳ (pregnancy tumor)
5. Hậu quả nếu không điều trị
- Nguy cơ chuyển thành viêm nha chu
- Lung lay răng, tiêu xương ổ răng
- Ảnh hưởng thẩm mỹ và chức năng ăn nhai
- Tăng nguy cơ sinh non hoặc thai nhẹ cân
6. Biện pháp dự phòng
6.1. Vệ sinh răng miệng đúng cách
- Chải răng tối thiểu 2 lần/ngày bằng bàn chải lông mềm
- Dùng chỉ nha khoa hoặc tăm nước
- Súc miệng bằng chlorhexidine theo chỉ định
6.2. Dinh dưỡng hợp lý
- Hạn chế đường và thực phẩm dính
- Tăng vitamin C, D, canxi và chất xơ
6.3. Khám nha khoa định kỳ
- Khám răng miệng mỗi 3 tháng
- Lấy cao răng khi cần thiết
- Điều trị sâu răng, viêm nướu sớm
6.4. Giáo dục sức khỏe và thay đổi hành vi
- Hướng dẫn vệ sinh răng miệng đúng cách
- Tránh sử dụng thuốc không rõ nguồn gốc
7. Kết luận
Viêm nướu thai kỳ là tình trạng phổ biến và có thể phòng ngừa hiệu quả. Việc chăm sóc răng miệng đúng cách và khám định kỳ giúp giảm nguy cơ biến chứng răng miệng và thai kỳ. Các chương trình giáo dục và dự phòng cho phụ nữ trước và trong thai kỳ là cần thiết.
Tác giả: ThS. BS. Nguyễn Thị Thanh Duyên
Người duyệt: TS. BS Lê Anh Tuân, ThS. BSNT Nguyễn Hà Quốc Trung
Đăng bài: ThS. BS Trần Anh Tuấn